The Cranial Synostoses

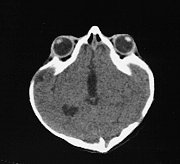
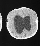
Synostosis is the premature closure of one or more of the calvarial sutures.  Such fusion limits the abilty of the skull to expand in a direction perpendicular to the suture, resulting in characteristic head shapes.  The sutures are dynamic: as the brain grows, the sutures expand, adding new bone.  The brain normally doubles in size during the first 6 months, and again by 2 years of age.  Hence, in hydrocephalic children, the head may be unusually large.  If the sutures are compressed, either mechanically or due to failure of underlying CNS expansion, the sutures may either resorb or fuse.  Synostoses are either primary (fusion of single suture as an isolated event) or secondary (for instance, in association with several syndromes discussed below, often involving more than one suture).  The prevalence of primary synostosis is about 1/4000 to 1/1000 live births.  Diagnosis is made on the basis of characteristic head shape, presence of ridges overlying fused sutures, rotation of facial landmarks.  A reconstructed 3D CAT scan makes the defect immediately apparent.  Clinically, signs of increased intracranial pressure (ICP) may also be present (vomiting, lethargy).  Some synostoses are diagnosed in the context of syndromes.
 

Anatomy

The calvarium is divided by sutures into bony plates.  In this illustration, the brown metopic suture divides the orange frontal bones.  The frontal bones are separated from the blue parietal bones by the yellow coronal suture, and the two parietal bones are separated from each other by the purple sagittal suture.  The occipital bone is separated from the parital bones by the white lambdoidal sutures.  The space where the metopic, coronal and sagittal sutures come together is the anterior fontanelle, and the posterior fontanelle is present where the lambdoidal and sagittal sutures meet.
 

Sagittal

  • most common, 58% of all synostoses
  • 2-3 x more males than females
  • dolichocephalic/scaphycephaly (long-headed/keel-headed)
  • May be turricephalic (tower-headed)
  • frontal and/or occipital bossing may be present
  • frequently, early closure of anterior fontanelle
  • about 10% associated with increased ICP

  • shape complicates vaginal delivery
   
 

Coronal

(12-29% of synostoses)
  • Bilateral
    • brachycephaly (short AP dimension)
    • acrocephaly (pointed head, vertically)

    • equal male and female association
 
  • Unilateral
    • frontal plagiocephaly
    • flattened ipselateral forehead
    • compensatory bulge on contralateral forehead
    • ipselateral eyebrow elevation
    • prominent contralateral ear
  • Deformational
    • secondary to fetal growth inhibition

    • more often right suture than left

Metopic

  • 4-10% of synostoses
  • more common in males
  • trigonocephaly (triangle-shaped head)
  • recessed lateral orbital rim
  • hypotelorism
  • mild form: familial

  • severe form: related to CNS dysmorphology 
 

Lambdoidal

  • 2-4% of synostoses are true lambdoidal fusions
  • unilateral lamdoidal synostosis yields occipital plagiocephaly
  • parallelism is a parallelogram-shape induced by longterm

  • supine positioning.  The occiput is flattened, and the 
    diagonally opposite frontal bone bulges. 
True Occipital Plagiocephaly Parallelism
 

Kleeblattschadel

Syndromes associated with Synostosis:

Between 10 and 20% of synostoses are associated with syndromes.  Diagnosis is made based on the head dysmorphology, evidence of increased ICP, presence of exophthalmos, hypo- or hypertelorism, and possible airway obstruction (due to midface hypoplasia/choanal atresia).  Most of these syndromes are sporadic in occurrance.  However, if one parent and one sib are affected, subsequent sibs have about 50% risk of having the syndrome.  If neither parent, but two sibs are affected, subsequent sibs are at about 25% risk.
 

Crouzon Syndrome

  • most common syndrome
  • involves sagittal and coronal sutures
  • shallow orbits, proptosis
  • hypertelorism

  • midface hypoplasia 
  • often, hydrocephalus 
 

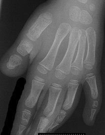
Apert Syndrome

  • coronal, sagittal, lambdoidal
  • symmetrical syndactyly of hands/feet
  • choanal atresia
  • ventriculomegaly
  • shallow orbits, proptosis

  • midface hypoplasia 

Pfeiffer Syndrome

  • broad thumb and great toe
  • turricephaly
  • hypertelorism
  • proptosis

  • midface hypoplasia

Other:  Carpenter, Chozen syndromes.

Treatments:

Acknowledgements:

Keating, RF.  1997.  Pediatric Annals 26(10):600-612.
The Sagittal Synostosis Home Page
 
Neurology
Net Scut Home

Please direct all comments to: addy
Last modification: February 21, 1998